Henderson Dental in Carthage, MS
Our practice is within walking distance of the post office and the Carthage-Leake County Library. Our dentists are happy to welcome new patients and referrals.
Save Time at Our Office By Filling Out Patient Forms
If you are visiting our Carthage dentists for the first time, you can print and fill out your patient forms before you come. Be sure to bring these forms along with your ID and insurance card.
Meet Our Dentists in Carthage, MS
Our father-and-daughter dentists are here to ensure you enjoy expert, quality dental care.

David C. Henderson
Dr. Henderson is a proud Carthage native. He has provided the community with excellent dental care since 1984.

Laura Katherine Henderson Jones
Dr. Jones is Dr. Henderson's daughter. She joined our practice in 2012 and loves working with her hometown community.
Professional Affiliations
Get the Dental Care You Need Call Our Carthage Dentists to Get Started
Helping patients maintain healthy and beautiful teeth is important to our dental team. We strive to provide high-quality, compassionate dentistry. The team at our family-friendly dental office in Carthage, MS, provides comprehensive care, so there is no need to visit multiple dentists to get the dental care you all need.
We can't wait to meet you and get to work helping you achieve your smile goals! Get started today and request an appointment by contacting us online or by calling us at:
(601) 267-5624
"Friendly and awesome staff! Always enjoy our visit! They make me comfortable to trust them and to keep my teeth clean and healthy!!" - Stephanie Chamblee
Featured Dental Services Offered at Our Carthage, MS, Office
Dental Implants
Dental implants are prosthodontic tooth roots that support restorations such as dentures, dental crowns, and bridges to replace missing teeth. This amazing restorative treatment option also offers bone-saving benefits, providing your jawbone with the stimulation it needs to remain healthy.
Dental Crowns
A damaged or decayed tooth can be painful and make it difficult to eat or speak. Dental crowns provide a compromised tooth with strength and support to preserve the tooth structure and restore your oral health, appearance, and function. Don't want to wait to repair your smile? Our CEREC® technology allows us to craft custom crowns in as little as one appointment.
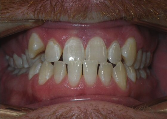
See Our Stunning Results
This patient suffered from an underbite that was corrected in about 16 weeks with Invisalign orthodontic treatment. This treatment corrected the underbite, giving him straighter teeth and a more functional smile.


Complete Dentistry Services at Our Carthage, MS, Office
Cosmetic
- Cosmetic Dentistry Overview
- Crown Lengthening
- Dental Bonding
- Gum Contouring
- Porcelain Veneers
- Smile Makeover
- Teeth Whitening
Orthodontics
- Braces
- Invisalign®
Periodontics
- Gingivectomy
- Gum Disease Treatment
Restorative
- Restorative Dentistry Overview
- Bone Graft
- Bruxism Treatment
- Dental Bridges
- Dental Crowns
- Dental Fillings
- Dental Implants
- Dental Implant Restoration
- Dentures
- Frenectomy
- Full Mouth Reconstruction
- Inlays and Onlays
- Ridge Augmentation
- Non-Molar Root Canal Therapy
- Apicoectomy
General
- Cleanings and Exams
- Dental Sealants
- Fluoride Treatments
- Oral Appliance Therapy
We Accept Most Insurance Providers
We are a premier network provider for Delta Dental®. Our dental practice accepts most dental insurance plans and providers, including Mississippi Children's Health Insurance Plan (CHIP) dental coverage. If you are unsure whether we are a network dentist for your provider, send us a message or give us a call. We are happy to help.
For those who are uninsured or out of network, we accept CareCredit® financing to make your dental care more accessible and affordable. Contact us to learn more.
“My visit to Dr. Henderson is always excellent. The nurses and himself always make me feel comfortable and even the receptionist is nice.” - Gaming with Erick








