
Cosmetic Dentistry
At our Carthage, MS, office, Dr. David Henderson and Dr. Laura K. Jones offer cosmetic dentistry treatments to meet your unique needs.
See the Amazing Results We Can Achieve
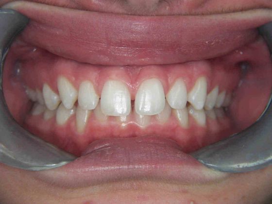
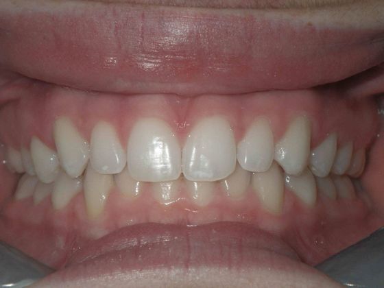
Invisalign Before and After Photos
We Accept Financing
/
Dental insurance providers typically don't cover the cost of cosmetic dentistry procedures. That is one reason why we accept financing plans, which allow you to pay off the cost of dentistry treatment over the course of several months.
Cosmetic Dentistry Services
Explore Invisalign
Invisalign is an incredibly popular treatment that can straighten overcrowded teeth, close tooth gaps, and treat bite misalignment issues. The main reason that patients prefer this treatment is because it improves the appearance of the smile discreetly. Patients simply wear clear aligners that gradually move the teeth into their ideal positions.
Explore Porcelain Veneers
Porcelain veneers are extremely thin, tooth-shaped shells that are placed on the front of one tooth or several teeth to mask dental flaws and improve your appearance. During your consultation at our Carthage dental office, our dentists will determine if veneers are appropriate for your needs. They can treat several cosmetic issues at once, but patients need to have good oral health to be considered candidates for this cosmetic dentistry procedure.
Teeth Whitening
Teeth whitening is one of the most popular cosmetic dentistry treatments because it can be performed with take-home kits or at the dentist's office. There are many reasons to undergo treatment with a cosmetic dentist. First, dentists have access to whitening products with higher concentrations of active ingredients, meaning you achieve better results. In addition, dentists can decrease the risk of sensitivity to the gums or enamel by providing custom trays and a professional approach to care.
Traditional Braces
Traditional braces are an effective orthodontic treatment that we recommend when other dental treatments such as Invisalign and veneers are unable to achieve satisfactory results. During an appointment at our Carthage dentistry practice, we can determine if this is the best option for you or your child's needs.
Check Out Our Photo Gallery
View all of the before and after photos in our gallery to see the work that our cosmetic dentists can achieve. We feature patients that have undergone cosmetic dentistry treatments, as well as those that have undergone restorative treatments like the placement of dental implants.
"The staff here are wonderful..." 5-Star Reviews from Our Patients
I would recommend Dr. Henderson’s practice to anyone! I have been going here since I was a little girl and now I have all three of my children going. I recently took my two year old for her first dentist appointment and she loved it and can’t wait to go back! The staff here are wonderful, very helpful, and make you feel like family as soon as you walk through the door.
View on GoogleHad a root canal Monday November 26th 2018 never felt a thing. And all of the staff were so pleasant and Dr Henderson and Dr Jones are by far the best dentists I have ever visited. I will use them from now on and I suggest you do as well !!!!
View on Google
We Offer Comprehensive Care
In addition to providing patients with beautiful smile makeovers, we offer general and restorative services as well:
- Dental Bridges
- Dental Crowns
- Dental Fillings
- Dental Implants
- Dentures
- Full Mouth Reconstruction



:quality(70)/https://einstein-assets.imgix.net/veneers-sq-1357114187-fit-crop.jpg)



