Cosmetic Changes with Veneers and Crown and Bridge: Case 1
Description
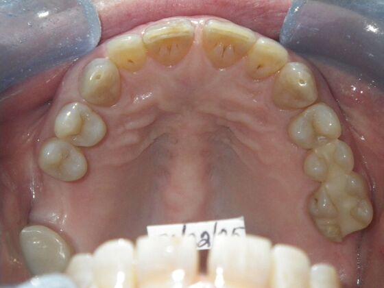
Patient presented with spacing between upper central incisors and dark tetracycline stains that she wanted corrected
Patient presented with spacing between upper central incisors and dark tetracycline stains that she wanted corrected
Dr. David C. Henderson and Dr. Laura Katherine Henderson Jones have the advanced training and tools needed to provide state-of-the-art dental care to patients in Jackson, Philadelphia, Carthage, and nearby communities. They are members of trusted dental organizations, including:
To schedule a consultation at our family-friendly dental office, request your appointment online or call us at (601) 267-5624.
