Invisalign: Case 10

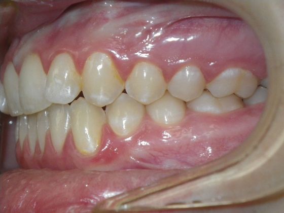
Invisalign: Case 10 - Before
Before
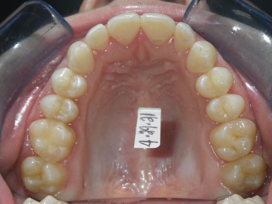
Invisalign: Case 10 - After
After
Invisalign: Case 10 - Before
Before
Invisalign: Case 10 - After
After
Invisalign: Case 10 - Before
Before
Invisalign: Case 10 - After
After
Invisalign: Case 10 - Before
Before
Invisalign: Case 10 - After
After
Invisalign: Case 10 - Before
Before
Invisalign: Case 10 - After
After
Invisalign: Case 10 - Before
Before
Invisalign: Case 10 - After
After
Team at David C. Henderson, D.M.D.

David C. Henderson, D.M.D. General Dentistry PA

Dr. David C. Henderson and Dr. Laura Katherine Henderson Jones have the advanced training and tools needed to provide state-of-the-art dental care to patients in Jackson, Philadelphia, Carthage, and nearby communities. They are members of trusted dental organizations, including: 

  • American Dental Association
  • Mississippi Dental Association
  • American Orthodontic Society

To schedule a consultation at our family-friendly dental office, request your appointment online or call us at (601) 267-5624.

Contact Us Today

Rate, Review & Explore

Social Accounts Sprite