Invisalign: Case 16
Description
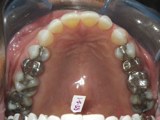
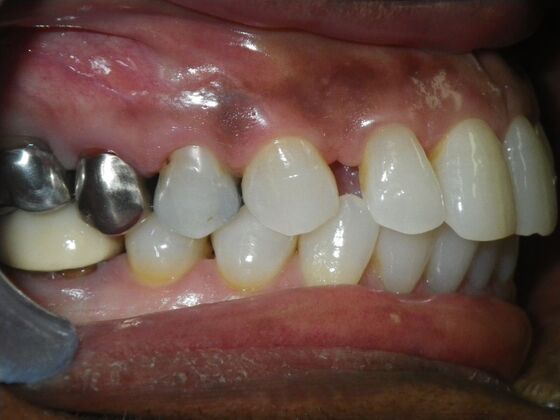
Patient wanted to close all spaces, especially upper right by her cuspid.
Patient wanted to close all spaces, especially upper right by her cuspid.
Dr. David C. Henderson and Dr. Laura Katherine Henderson Jones have the advanced training and tools needed to provide state-of-the-art dental care to patients in Jackson, Philadelphia, Carthage, and nearby communities. They are members of trusted dental organizations, including:
To schedule a consultation at our family-friendly dental office, request your appointment online or call us at (601) 267-5624.
