Dental Implants: Case 4
Description
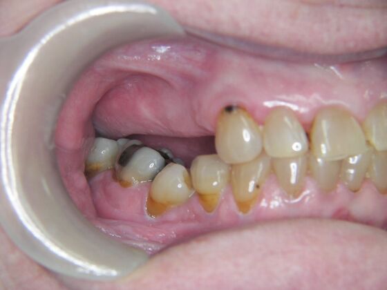
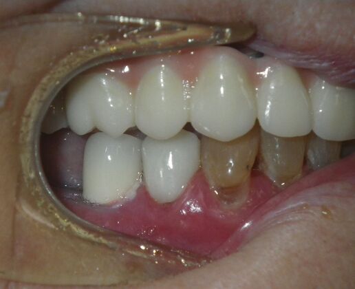
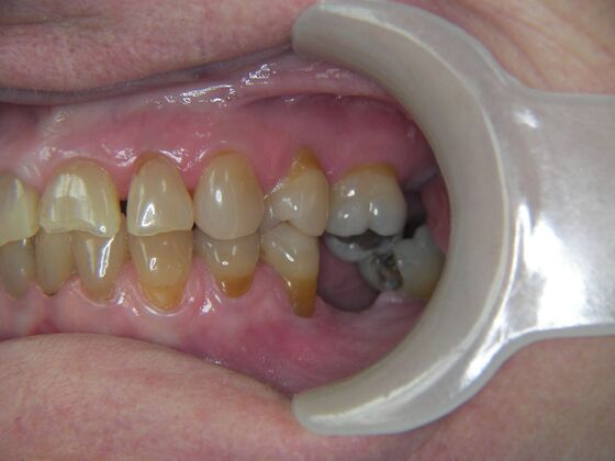
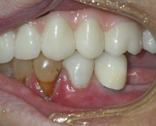
This patient had dark discoloration of her upper anterior teeth as well as lower anterior teeth and it bothered her greatly. So in December of 2010 six upper crowns were placed from right cuspid to left cuspid. Everything went rolling along; however, plaque control became a problem leading to moderate to advanced periodontitis in both arches.this was also compounded by the fact she had developed Lichen Planus. The periodontist recommended an All on 4 or 5 implant supported fixed-detachable denture. All upper teeth were extracted, 5 endosseous implants were placed with immediate complete denture. After healing had taken place, impression were taken, and an All on 5 implant supported All Zirconia Fixed-Detachable Denture was delivered. Single unit implants were placed at lower right and left 2nd premolar positions and restored with screw-in crowns. Also lower 1st premolars, right and left were crowned to lighten the shade. All she has left to treat now is from lower cuspid to cuspid.









