In-Office Zoom Whitening: Case 3
Description
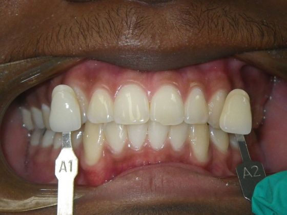
This patient had mild to moderate yellow discoloration of his teeth which we thought could benefit with some in office Zoom Bleaching. Patient was very pleased with result and was also given some bleaching trays to use at home for maintenance.



