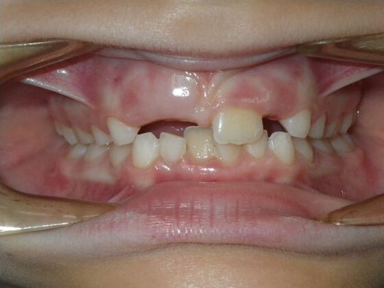
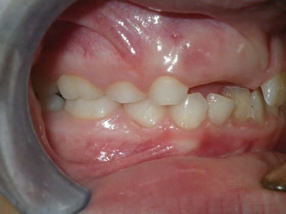
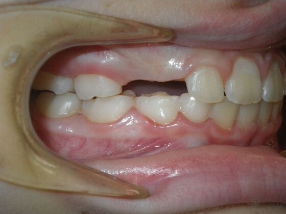
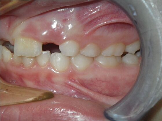
Orthodontic treatment in Phases: Case 10
Description
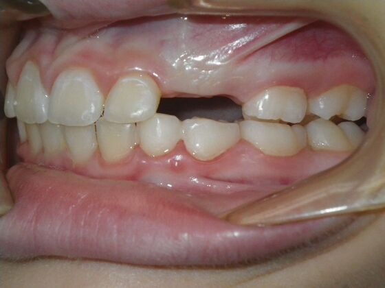
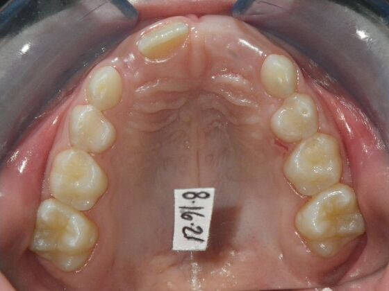
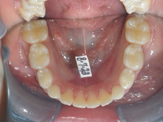
Patient presents with delayed eruption of the upper right central incisor and lower anterior crowding. Treatment plan to include exposure of right central incisor with bracket placement and correction of lower anterior crowding.













