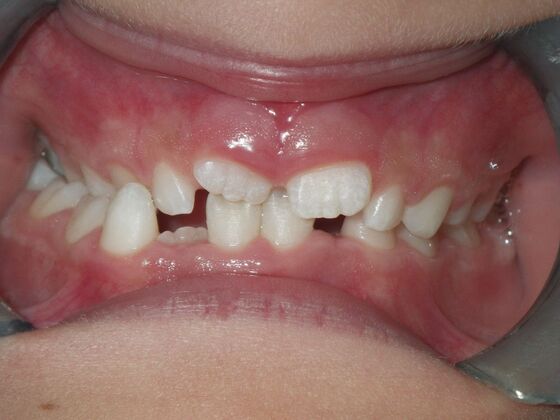
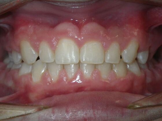
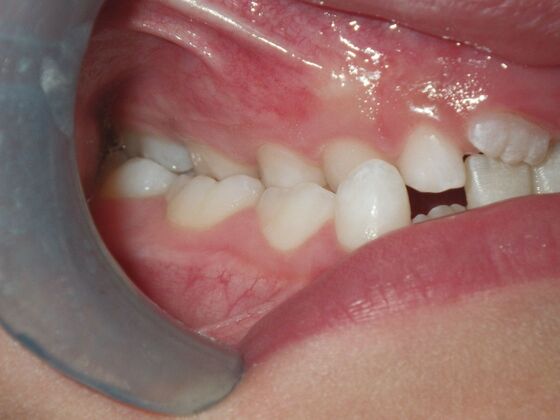
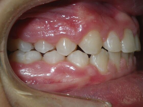
Orthodontic treatment in Phases: Case 8
Description
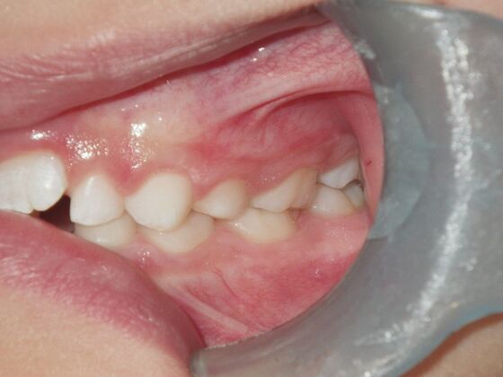
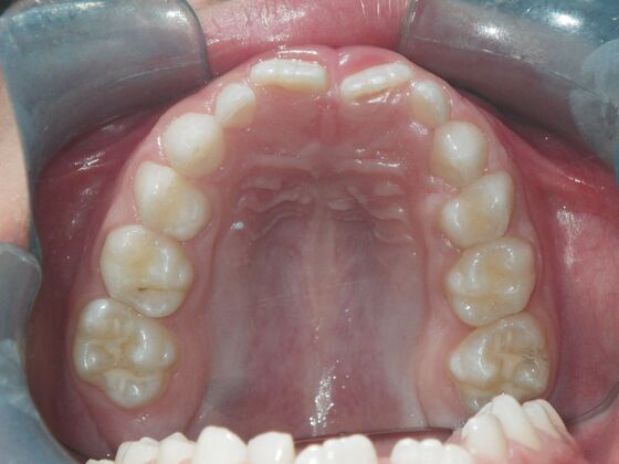
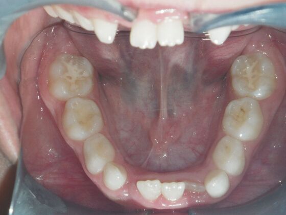
Dylan presented with a functional crossbite in which we used removable expansion appliances for 12 months, followed by bracketing of upper and lower teeth including primary ones to gain alittle more expansion, allowed to wear retainers for 6 months and then followed closely with 6 month ortho recalls and began Phase 2 treatment within 24 months and finished his ortho treatment.













